FMGE 2018 Question paper with answer key pdf conducted on December 14, 2018 is available for download. The exam was successfully organized by National Board of Examinations (NBE). The question paper comprised a total of 226 questions.
FMGE 2018 Question Paper with Answer Key PDFs
| FMGE 2018 Question Paper PDF | FMGE 2018 Answer Key PDF |
|---|---|
| Download PDF | Available Soon |







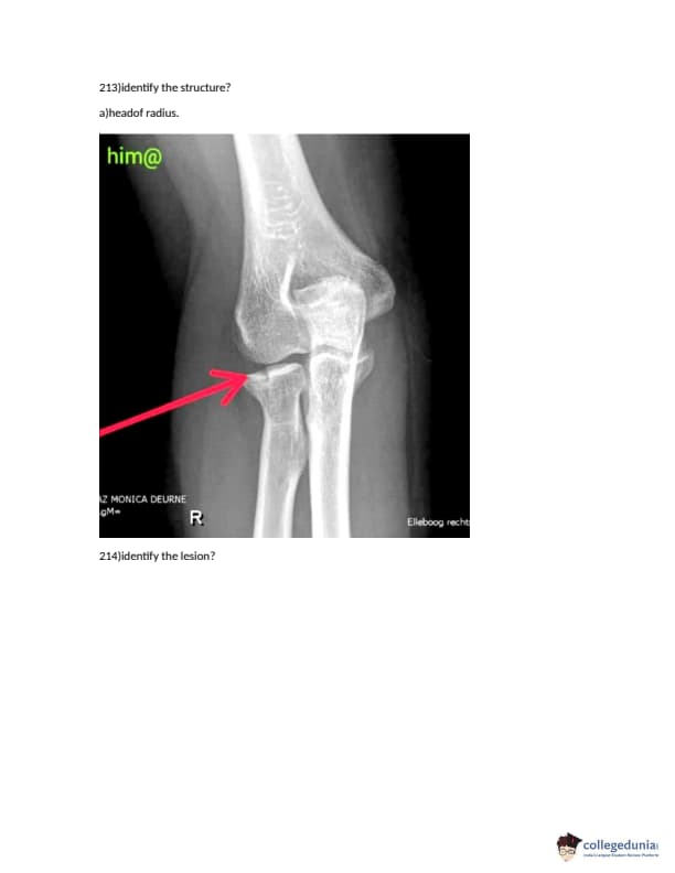
Comments